Fixed Prosthodontics

Crowns, Bridges, Inlays, and Onlays

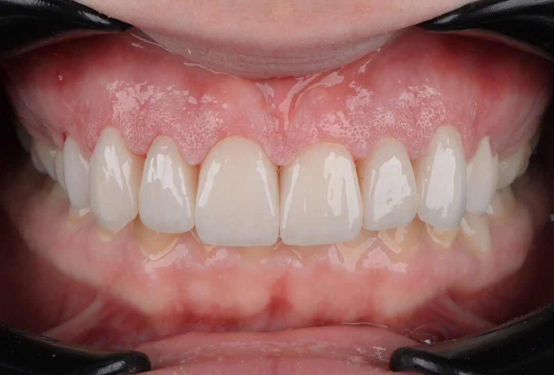
Esthetics Meet Function

We offer high-quality dental crowns, bridges, inlays, and onlays to restore your smile’s function, strength, and appearance. Whether you need to protect a weakened tooth, replace a missing one, or enhance aesthetics, our custom-made restorations provide a long-lasting solution

What Are Dental Crowns?

A dental crown is a custom cap that covers a damaged or weakened tooth, restoring its shape, size, and function while improving aesthetics. Crowns are commonly used for:

  • Strengthening a tooth after a root canal

  • Restoring a cracked, broken, or severely worn-down tooth

  • Covering a dental implant

  • Enhancing the appearance of discolored or misshapen teeth

Types of Crowns We Offer:

  • E.max Crowns: Made from lithium disilicate ceramic, these crowns offer superior strength, translucency, and a natural appearance, making them an excellent choice for both front and back teeth.

  • Porcelain Crowns: Natural-looking and stain-resistant, ideal for front teeth.

  • Zirconia Crowns: Extremely durable with excellent aesthetics.

  • Porcelain-Fused-to-Metal (PFM) Crowns: Strong and natural-looking, blending aesthetics with durability.

  • Metal Crowns: Highly durable, ideal for molars under heavy chewing forces.

Digital illustration of a large molar tooth surrounded by other teeth with pink gums, with one tooth appearing to be floating above the others.

What Are Inlays and Onlays?

Inlays and onlays are custom restorations used to repair moderately damaged or decayed teeth when a full crown is unnecessary. They provide a conservative and durable alternative to traditional fillings.

Differences Between Inlays and Onlays:

  • Inlays: Fit within the grooves of a tooth, restoring small to moderate cavities without covering the cusps.

  • Onlays: Extend over one or more cusps, providing additional reinforcement for larger cavities or cracks.

Benefits of Inlays and Onlays:

  • Preserve More Natural Tooth Structure: Less removal of healthy enamel compared to crowns.

  • Durable & Long-Lasting: Made from porcelain, composite resin, or gold for excellent strength and longevity.

  • Natural Appearance: Blends seamlessly with your natural tooth color.

  • Resistant to Staining & Wear: Ideal for restoring chewing surfaces while maintaining

Decay and caries Olympia

An onlay is used to restore a missing cusp

What Are Dental Bridges?

A dental bridge is a fixed restoration used to replace one or more missing teeth by anchoring to adjacent teeth or implants. Bridges help restore function, maintain facial structure, and prevent teeth from shifting.

Types of Bridges We Offer:

  • Traditional Bridges: Supported by crowns placed on adjacent natural teeth.

  • Implant-Supported Bridges: Anchored to dental implants for superior stability and longevity.

  • Cantilever Bridges: Used when only one adjacent tooth is available for support.

  • Maryland Bridges: A conservative option using metal or porcelain wings bonded to neighboring teeth.

The Process for Crowns, Bridges, Inlays, and Onlays:

  1. Consultation & Examination: Our dentist evaluates your oral health and discusses the best restorative option for you.

  2. Tooth Preparation: The affected tooth (or teeth) is reshaped, and impressions are taken.

  3. Temporary Crown or Bridge: A temporary restoration is placed while your custom crown or bridge is being crafted.

  4. Final Placement: Once ready, your permanent crown or bridge is cemented into place, ensuring a perfect fit and natural appearance.

Caring for Your Crown, Bridge, Inlay, or Onlay:

  • Maintain good oral hygiene with regular brushing and flossing.

  • Avoid chewing hard foods or using teeth as tools to prevent damage.

  • Visit True Smile Dental for routine check-ups to ensure long-term durability.

If you need a crown or bridge, contact True Smile Dental today to restore your smile with strength and confidence!

Crowns and Bridges Olympia

A multi unit bridge is used to restore missing teeth